Prvorozeného bolelo bříško po všem
S prvním synem v těhotenství jsem jedla poměrně dost konvenčně, sladce, kupa bílé mouky. Po jeho narození jsem se snažila jíst lehce, “zdravě”, ale byla jsem úplně mimo – brambory, mrkev, vařené ovoce, rýži. Zkoušela jsem, po čem ho nebude bolet bříško, nedočkala jsem se. Nikde luštěniny, zeleniny pramálo a ještě to bylo období MLM koktejlů. Zase samé rychlé cukry.
Zkoušela jsem raw stravu

Jak syn rostl, z tolika stran se hrnuly přechvalné ódy na raw (tzv. živou) stravu, až jsem se rozhodla ji vyzkoušet. Koupila jsem kvalitní mixer, později i odšťavňovač. Jedla jsem opravdu velká kvanta ovoce, koktejly, sušené ovoce, různé kuličky. Syn toto vše jedl se mnou. Až později jsem přidala zeleninové šťávy. Byla jsem závislá na sladké chuti. Po sladkém jídelníčku, obzvlášť šťávách, nás neskutečně začalo bolet trávení. Myslím, že v té době začaly mé zdravotní problémy, o kterých jsem se dozvěděla o několik let později.
Neříkám, že na živé stravě není nic fajn, to ne. Ale když už, tak spíš v létě a s rozumem. Sama vím o nadšencích raw food a o tom, jak jejich děti mají zkažené zuby, neb jsou zahrnovány ve velké míře sušeným ovocem a je jedno, že je nesířené a bio. Sama za sebe tuto stravu neshledávám vhodnou. Nikdy nedokázala uspokojit mé chutě a zasytit mne tak jako JJ.
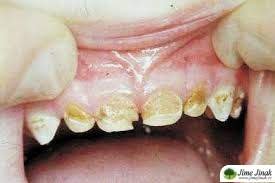
Syrová strava se na synových zoubcích velmi podepsala

Již ve dvou a půl letech jsme s hrůzou zjistili, že má zkažených několik zubů! Naštěstí jsme chodili a chodíme pravidelně k dobrému zubaři a ten nás uklidnil, že jsou to všelijaké pigmentové skvrny. Ale přísahám, že pro laika to vypadá jako kazy. Tu tečka na horní jedničce, nezměnitelné barvy na zubech, z boků stoliček načernalé fleky. Ptali jsme se čím to a dozvěděli jsme se šokující zprávu – zoubky jsou demineralizovány! Aha, tak jo, to nás opravdu nenapadlo, že mu vlastně chybí živiny…Z živé stravy?! V šesti letech mu byl vrtán první mikro kaz (odpovědnost už mu postupně předáváme – nebaví ho péče o chrup, nedal si říct a jí i konvenční a nejen sladké, byť ne pravidelně).
Před třemi lety, když jsem začala s JJ stravou jsem s překvapením zjistila, že se mu zoubky již nehorší, jsou stejné! A nebo když jí opravdu hodně zdravě, tak se mu dokonce v etapách i lepší! Hurá, tak v tento zázrak jsem opravdu ani nedoufala. Toto pozorování mne uklidnilo a jsem velice ráda za tento směr a jen jeden malý vrtaný kaz “až!” teď v šesti letech. Určitě by k tomu došlo dřív, kdybychom se stravovali dál jako dřív.
Teď už prvorozenému roste druhý chrup a je to již úplně na něm, jak se k tomu postaví. Zatím to pořád flinká :-) Pro mě je to nepochopitelné, já čištění zubů miluji! Ale je pravda, že se tak stalo až v dospělosti, jako dítě i dospívající jsem to tak vážně nebrala. Tak už víme, po kom to má :-) .
Druhorozený jedl Jinak od prvních příkrmů

Ve druhém těhotenství mi vyhovoval veganský jídelníček, ale o JJ jsem ještě nevěděla nic, kromě toho, že tento projekt existuje. Zmínila se mi kamarádka, ale to jsem zatím ani zběžně nekoukla na stránky. Byla jsem od raw období chronicky nemocná a nevěděla jsem to. Přišlo se na to během testů v těhotenství. Měla jsem gynekologické obtíže a pokročilý zánět v močovém měchýři. Dále hrozilo zasažení ledvin. Nepohodu jsem cítila, ale byla jsem zvyklá bolest snášet a nebýt citlivka. A to se málem nevyplatilo. Nebýt těhotenství, nevím, co a jak by se mnou bylo.
Zpátky k jídelníčku. Nic moc. Často jsem jedla kombinaci ovoce, obilí a to na uzdravení nebylo dobré. Věděla jsem to, ale ze začarovaného kruhu jsem se sama nedokázala dostat. Při životě mě držela probiotika. Psychika byla velmi oslabena.
Od synových tří měsíců jsem začala zavádět JJ stravu, s různými výkyvy syn takto jedl od prvních příkrmů. Musím se smát při pohledu na jeho zoubky, v kombinaci, jak to má s kartáčkem a jak reaguje zubař. Jste zvědaví?
Zoubky jako perličky
V těhotenství tedy strava opět nic moc. Ale mám pro vás dobrou zprávu! I když vám to v těhotenství třeba také nešlo zdravě, ani trochu dle JJ, i tak vaše dítě může mít nádherný chrup, když s touto stravou začnete buď od kojení, nebo později, s příkrmy. Samozřejmě čím dříve tím lépe! Už v prenatálu se buduje jejich zdraví včetně zubů.
Náš čerstvý tříleťák zrovna před pár dny potěšil pana zubaře pohledem do dutiny ústní. Pan zubař mu div neplácal po zádech: “Dobře to děláš, kamaráde! Paráda, jen tak dál!”
Fakt se směju! Protože ON a čištění zubů??? Ne, sociálku prosím na nás neposílejte. Aby se neřeklo, letem světem mu je sem tam čistíme. Ale ono, když člověk zdravě jí, tak to ani není tak potřeba. Navíc nám u něj ke zdravému chrupu přispívá to, že je na bezlepkové dietě a nedělá mu dobře ani přehršel sladkého (ani ovoce, obilí na sladko), takže ani není moc po čem by se mu zoubky kazily. Přešlapy v jídelníčku vedou k ekzému a to nám za to nestojí. Věřím tomu, že i když vaše dítko nepotřebuje bezlepkovou dietu, může mít suprový chrup. Je tady spousta dalších maminek s podobnými zkušenostmi, nemýlím se, že? :-)
Juniorka ještě zoubky nemá
Upřímně jsem moc zvědavá, jak to bude mít naše malá. Je třetí v řadě a na této stravě je “nejvíc”, tedy od základu. Už před početím, pak v těhotenství a až přijdou příkrmy, budou samozřejmě podle Jíme Jinak. Tuším, že lepek pro ni také nebude ideál, po sladkém ji také bolí bříško, tak že by zase zoubky jako perličky? Moc jí to přeji, já je neměla a nemám. Jen díky JJ stravě si zuby držím v dobré kondici.
A jaké máte vy zkušenosti s chrupem svých ratolestí?
Pomozme jim v začátcích a naučme je zdravě jíst. Jde to i hravě. Buďme jim příkladem, když už víme jak na to!
Pojď na živý kurz vaření
Potkej se s reálnými lidmi, ochutnej to, přivoň si, zeptej se lektora. Zjistit více


Komentáře
U nás se zubami je to tak, že já co jj a zuby si myji zodpovědně, mám s nimi problémy-moje zubařka mi říká, že to mám z kousání toho zrní:((, manžel-masař, kuřák, piják kávy má zuby zdravé, syn jj – má zuby zdravé a vnučka vždy zoubky měla jak perličky bez jediného kazu, v posledním roce v MŠ dostávají za cokoliv bonbony:((, tak už měla tři malinké kazy.
Tak u nás (zejména u mě) to byla dřív hrůza, ale co jsme přešli na JJ, tak říká naše zubařka: “Vaší rodinu mám ráda, vy jste holky takové bezúdržbové.” :-) Žádné kazy, žádný zubní kámen, žádné leštění. Jo, leštění jsem absolvovala pouze jednou, ale to bylo tím, že jsem se asi měsíc před zubařem nechala ukecat na šálek černého čaje. A šup, už byly zuby obarvené. Zlatá bancha, od té doby si jí nosím v kabelce a na návštěvách prosím jenom o horkou vodu (někdy jen hrnek, protože vodu mívám v termosce, ale to už na mě lidi koukají fakt blbě).